IRM de l’hypophyse

Vous allez venir dans notre établissement pour réaliser une IRM de l’hypophyse. Cette IRM est totalement indolore pour le patient, mais peut causer de l’inconfort en raison de son niveau sonore élevé. Pour atténuer ce bruit, nous mettons à votre disposition des bouchons d’oreille ou un casque audio afin de vous protéger et de vous permettre de vous sentir à l’aise durant l’examen.

Le port du masque reste obligatoire si vous présentez des symptômes grippaux

Prescription Médicale OBLIGATOIRE

1 seul rendez-vous autorisé/jour/personne
pour les patients mineurs, appelez le secrétariat

Rendez-vous avec injection

Les rendez-vous en ligne sont momentanément indisponible

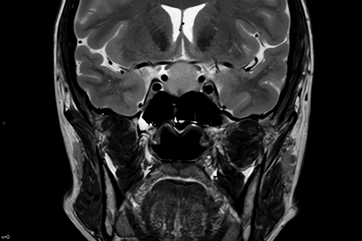
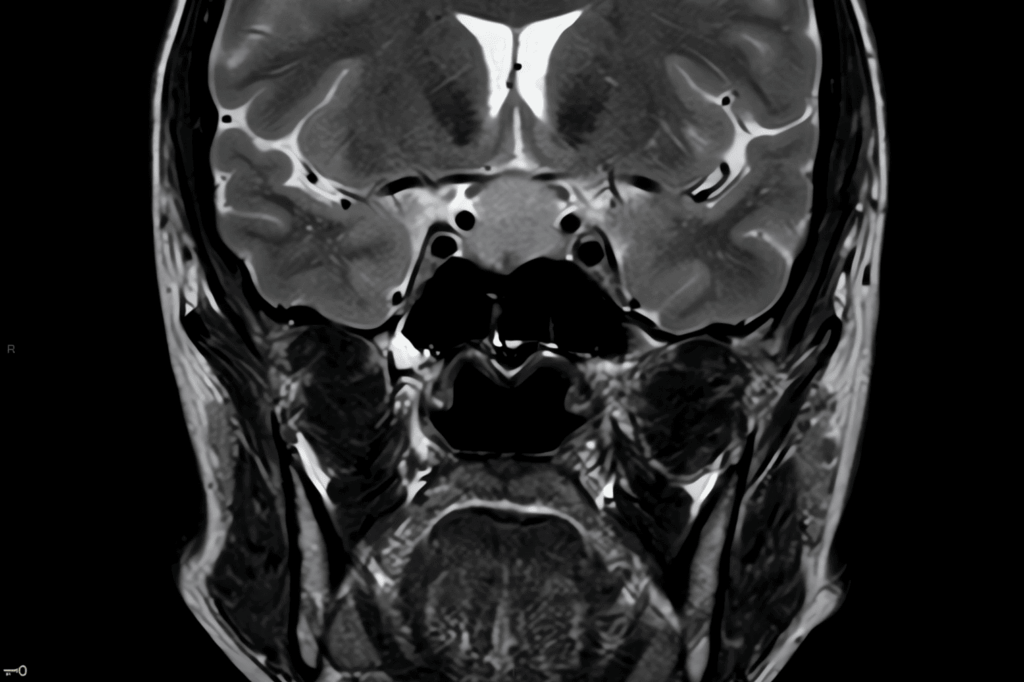
irm hypophysaire à Lyon - réduit
irm hypophysaire à Lyon - réduit

L’IRM de l’hypophyse est réalisée pour détecter la présence éventuelle d’une tumeur bénigne à ce niveau. Cet examen est recommandé pour les patients qui présentent des problèmes hormonaux ou un syndrome de Cushing. Avant de commencer l’examen, veuillez retirer tous vos vêtements, bijoux et objets métalliques et enfiler la blouse d’examen fournie. Si nécessaire, un cathéter sera installé pour l’injection de produits de contraste. Vous serez allongé et une sonnette d’alarme vous sera donnée pour communiquer avec le personnel pendant l’examen qui dure généralement environ une demi-heure. Il est important de rester le plus immobile possible pendant cette période. Il se peut que notre équipe vous demande de retenir votre respiration pendant quelques secondes en cours d’examen.

Préparation

Lorem Ipsum is simply dummy text of the printing and typesetting industry. Lorem Ipsum has been the industry’s standard dummy text ever since the 1500s, when an unknown printer took a galley of type and scrambled it to make a type specimen book.

Installation

Lorem Ipsum is simply dummy text of the printing and typesetting industry. Lorem Ipsum has been the industry’s standard dummy text ever since the 1500s, when an unknown printer took a galley of type and scrambled it to make a type specimen book.

Déroulement

Lorem Ipsum is simply dummy text of the printing and typesetting industry. Lorem Ipsum has been the industry’s standard dummy text ever since the 1500s, when an unknown printer took a galley of type and scrambled it to make a type specimen book.

Infos pratiques

Préparez votre venue

Afin que votre examen se passe dans les meilleures conditions possibles, il est nécessaire de se préparer correctement et de respecter certaines consignes. Nous vous invitons à rechercher le type d’examen que vous allez passer dans le but de vous préparer convenablement :

Prenez rendez-vous

Examen Spécialiste

covid 19 IRM Lyon

Covid 19

Un circuit court est organisé :

-> Le médecin ne vous verra pas après l’examen
-> Un document avec des codes d’accès vous sera remis pour consulter vos résultats sur le site internet.
->Respecter l’heure de votre rendez-vous : inutile de vous présenter en avance.

->Limiter le nombre d’accompagnants dans la mesure du possible

Respecter les indicateurs de séparation ainsi que les mesures barrières, à savoir :

->La désinfection des mains au gel Hydro-alcoolique à l’entrée du service
->Préférer un règlement par carte bancaire et vous munir de votre propre stylo

Plan d'accès à l'IRM des Sources

Adresse : 25 Av. des Sources, 69009 Lyon
irm-des-sources_entree_accueil

Les documents à préparer

Cas particuliers :

Les accidents du travail – CMU et AME : pas de règlement à prévoir ; par contre, bien vous présenter avec l’original de vos papiers d’accident de travail ou CMU et AME.

Retrouver les documents à imprimer ci-dessous :

Rendez-vous - Généraliste

Covid 19

Un circuit court est organisé :

-> Le médecin ne vous verra pas après l’examen
-> Un document avec des codes d’accès vous sera remis pour consulter vos résultats sur le site internet.
->Respecter l’heure de votre rendez-vous : inutile de vous présenter en avance.

->Limiter le nombre d’accompagnants dans la mesure du possible

Respecter les indicateurs de séparation ainsi que les mesures barrières, à savoir :

->La désinfection des mains au gel Hydro-alcoolique à l’entrée du service
->Préférer un règlement par carte bancaire et vous munir de votre propre stylo